症状・状況に合わせた治療法を
矯正治療には、以下のような種類があります。
治療目的や歯の状態、生活環境によって治療法が異なります。

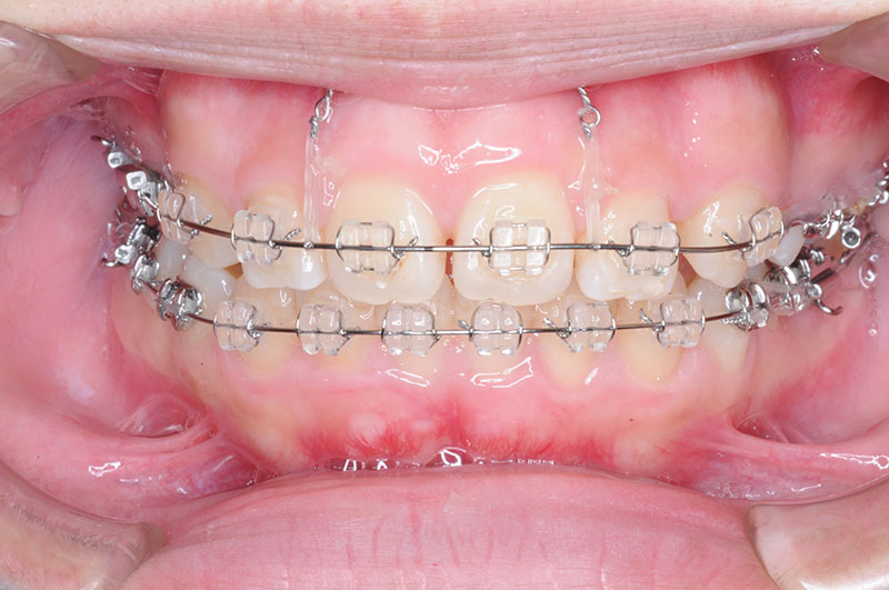
歯の1本1本に小さな装置をつけて、ワイヤーで矯正する方法です。装置の種類には金属や、目立たないプラスチックやセラミックなどがあります。

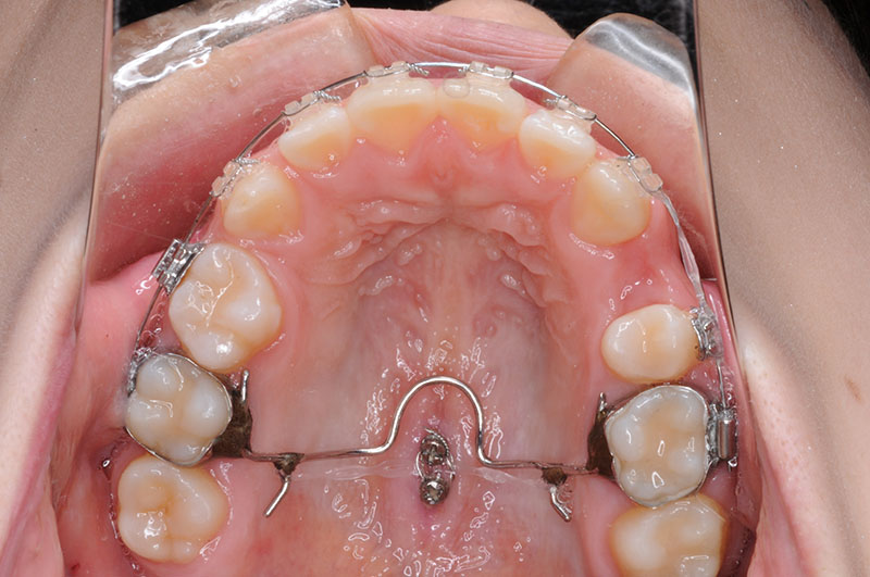
顎を側方に広げる装置をつける治療方法です。側方拡大装置と呼ばれています。

ワイヤー固定して、取り外しのできる装置を用いた矯正方法です。
どの年齢層の方でも治療ができます。しっかり利用することが大事です。
顔の輪郭、特に下顎骨を含む顔下半分の骨格の変形に起因する、歯並びの良くない状態の場合、通常のワイヤーとブラケットを歯につけた上で、上顎骨または下顎骨の外科手術と併用して行う治療方法です。
※健康保険対応
唇顎口蓋裂症 および 他53疾患。
顎変型症(外科矯正症例)。
※詳しくはお問い合わせください。
治療の費用は患者様ひとりひとりの症例による治療方針で決まりますので、一律には定まってはおりませんが、当クリニック設定の諸費用と、矯正料の目安は以下のとおりとなります。
(健康保険が適用されないため、自費診療となります)
| 診療内容 | 費用(税込価格) |
|---|---|
| 初診料 | 3,300円 |
| ブラッシング指導料 | 2,200円 |
| 検査料 | 35,200円 |
| 診断料 | 22,000円 |
| 矯正料 | 792,000円~990,000円 |
| 処置管理料 | 3,300円~6,600円 |